Bazal hücreli karsinom (BHK), en sık görülen deri kanseri türüdür ve genellikle ultraviyole (UV) radyasyon maruziyeti ile ilişkilendirilir. Ancak travma, kronik yara, yanık ve skar gibi UV dışı faktörlerin de tümör gelişiminde rol oynayabileceği bildirilmiştir. BCG (Bacillus Calmette-Guérin) aşısı skarı gibi benign skarlarda malignite gelişimi oldukça nadirdir.
Bu olgu sunumunda, çocukluk döneminde BCG aşısına bağlı olarak oluşan bir skar dokusunda bazal hücreli karsinom gelişen nadir bir vakaya yer vermeyi ve skarlardaki morfolojik değişikliklerin malignite açısından değerlendirilmesinin önemini vurgulamayı amaçladık.
|
62 yaşındaki erkek hasta, sol kolundaki bir lezyon nedeniyle dermatoloji kliniğimize başvurdu Lezyon, çocukluk döneminde yapılmış olan BCG aşısına bağlı gelişen bir skar dokusu içerisinde yer alıyordu. Hastanın anamnezine göre, yaklaşık 10 yıl önce meydana gelen travma sonrası bu bölgede kızarıklık ve kabuklanma gelişmiş, ardından lezyon zamanla giderek büyümüştü. Ayrıca, hasta giysilerle sürtünmeye bağlı olarak ara sıra lezyonda kanamalar olduğunu bildirdi. Başka herhangi bir semptom mevcut değildi. Hastanın Fitzpatrick deri tipi III’tü ve sınırlı güneş maruziyeti öyküsü bulunmaktaydı.
Klinik muayenede, sol kol lateralinde üzerinde hemorajik krusta bulunan, 15 × 10 mm boyutlarında yer yer ülserasyon odakları izlenen nodüler bir lezyon(Resim 1) gözlendi. Dermoskopik incelemede kısa ve ince teleangiektaziler, dallanan damarlar, mavi-gri ovoid yapılar, ülserasyon ve parlak beyaz alanlar(Resim 2) saptandı.
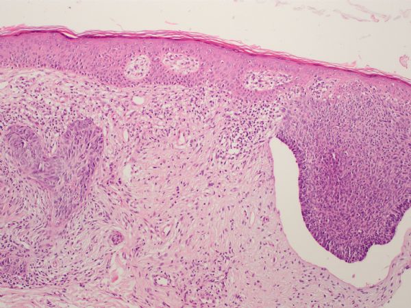
Biyopsi örneğinin histopatolojik incelemesinde dermal yerleşimli ve epidermisin bazal tabakası ile ilişkili bazal hücreli karsinom odakları(Resim 3) izlenmesi sonucu bazal hücreli karsinom tanısı doğrulandı. Lezyon temiz cerrahi sınırlarla eksize edildi ve hastaya düzenli dermatolojik takip önerildi.

Resim 1 Sol kol lateralinde üzerinde hemorajik krusta bulunan, 15 × 10 mm boyutlarında nodüler ve erode bir lezyonResim 2 Lezyonun dermoskopik incelemesinde kısa ve ince teleangiektaziler, dallanan damarlar, mavi-gri ovoid yapılar, ülserasyon ve parlak beyaz alanlarResim 3 Dermal yerleşimli ve epidermisin bazal tabakası ile ilişkili bazal hücreli karsinom odakları, Hematoksilen+Eozin, orijinal büyütme X10
|
Hastanın sınırlı güneş maruziyeti öyküsü ve lezyonun BCG aşı skarı içerisinde yer alması göz önünde bulundurularak, patogenezde UV ile ilişkili olmayan bir karsinojenik yol düşünülmüştür. BCG skarında gelişen bazal hücreli karsinom son derece nadir görülen bir olgu olmasına rağmen aşı skarındaki herhangi bir morfolojik değişiklik potansiyel malignite açısından dikkatle değerlendirilmelidir. Bu durum, kanser olasılığının minimal göründüğü durumlarda bile yüksek düzeyde onkolojik farkındalığın sürdürülmesinin önemini vurgulamaktadır.
Anahtar Kelimeler: Aşı Skarı, Bazal Hücreli Karsinom, BCG Aşısı, Non-UV Karsinogenez, Onkolojik Farkındalık
|