Akral Persistan Papüler Müsinozis (APPM), lokalize liken miksödematozun nadir bir alt tipi olup, sistemik tutulum olmaksızın dermiste müsin birikimi ile karakterizedir. Klinik olarak el sırtı ve önkollar gibi akral bölgelerde, simetrik, deri renginde, kalıcı papüller şeklinde ortaya çıkar. Nadir görülmesi nedeniyle APPM genellikle tanınmaz ya da yanlış tanı alır. Bu olgu sunumunda, klinik ve histopatolojik korelasyonla tanısı konmuş olan bir APPM olgusu sunularak farkındalık oluşturulması amaçlanmaktadır.
|
56 yaşında kadın hasta, yaklaşık 4 yıldır her iki el sırtı ve distal önkollarında mevcut olan, asemptomatik, simetrik yerleşimli deri lezyonları ile başvurdu. Lezyonlar zamanla sayıca artmış, ancak travma, sistemik belirti ya da ilaç kullanımı ile ilişkili olmamıştır. Ailede benzer öykü bulunmamaktadır.
Fizik muayenede, bilateral el dorsumunda ve önkollarda 2–5 mm çaplı, kubbe şeklinde kabarık, deri renginde, simetrik yerleşimli çok sayıda papül(Resim 1) gözlendi. İnflamasyon ve sekonder değişiklik izlenmedi.
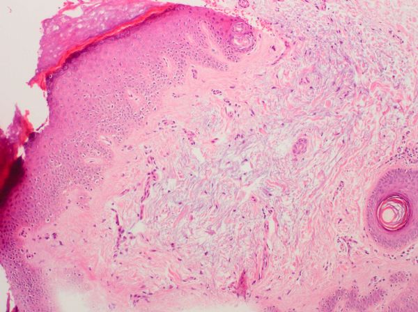
Ayırıcı tanıda eruptif ksantom, papüler granuloma annulare ve amiloidoz düşünüldü. Dış merkezde alınmış olan punch biyopsi hastanemizde yeniden değerlendirildi. Hematoksilen-eozin ile boyalı kesitlerde epidermisin ortokeratotik ve intakt olduğu, üst dermiste kollajen demetleri arasında belirgin müsinöz dejenerasyon varlığı(Resim 2) izlendi. Alcian blue ile yapılan histokimyasal boyamada müsin pozitif bulundu. Kristal viyole ve kongo red histokimyasında amiloid birikimi izlenmedi. PAS boyamasında fungal organizma görülmedi.
Hastaya ait klinik ve histopatolojik bulgular birlikte değerlendirildiğinde Akral Persistan Papüler Müsinozis tanısı konuldu. Bir aylık topikal diflorazon diasetat merhem tedavisinden klinik yanıt alınamadı ve hasta minimal kozmetik kaygı nedeniyle tedaviyi bırakmayı tercih etti. Hastalık asemptomatik seyrettiği için ileri tedavi planlanmadı.

Resim 1 Bilateral el dorsumunda ve önkollarda simetrik olarak yerleşmiş, 2–5 mm çaplı, deri renginde, kubbemsi çok sayıda papülResim 2 Dermal kollagen demetler arasında bazofilik görünümlü musinöz dejenerasyon alanları, Hematoksilen+Eozin, orijinal büyütme X10
|
Bu olgu, orta yaşlı bir kadında nadir görülen APPM’nin karakteristik klinik ve histopatolojik özelliklerini ortaya koymaktadır. Epidermal bütünlüğün korunmuş olması, dermal müsin birikimi, inflamatuvar infiltrasyonun minimal düzeyde olması ve sistemik bulguların eşlik etmemesi tanı açısından önem taşır. Hastalığın ayırıcı tanıda göz önünde bulundurulması, gereksiz tedavi ve yanlış tanıların önüne geçilmesi açısından önemlidir. Klinikopatolojik uyum tanı koymada kritik öneme sahiptir.
Anahtar Kelimeler: Akral Persistan Papüler Müsinozis, Liken Miksödematoz, Kutanöz Müsinozis
|